こんにちは。
もう肌寒くなってすっかり秋がきたな〜と感じる今日この頃です。
皆さん、この温度差で体調を崩さないよう気を付けて下さいね☆
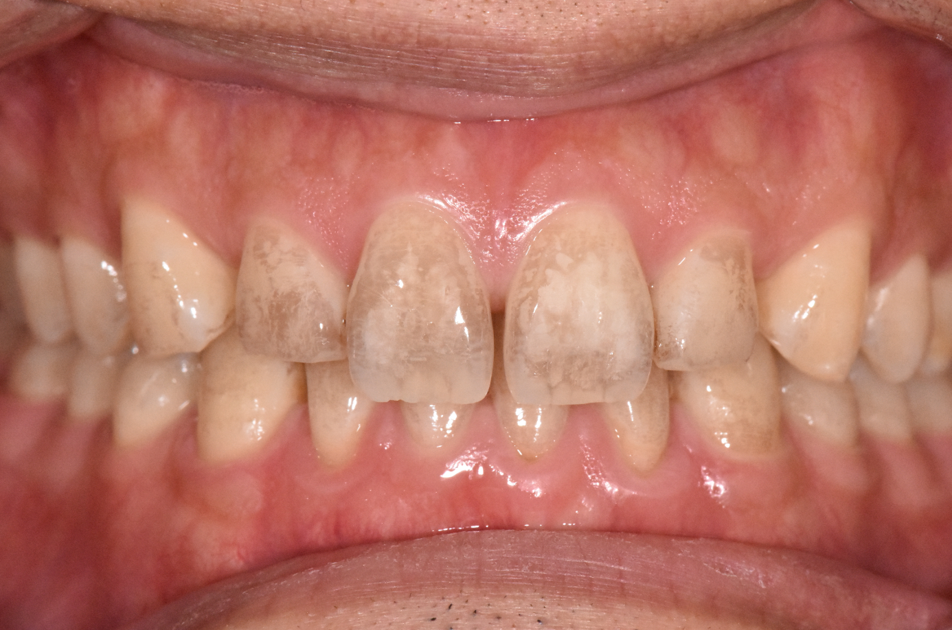
今回は、ステイン除去のお話をさせて頂きます!!
歯の表面には目に見えない凹凸があり、着色(ステイン) がつくことがあります。
一度付いてしまったステインは歯ブラシでは落とすのが難しく粗い研磨剤が入っている歯磨剤で磨くと更に歯の表面に傷を付けて
なので、 当院では歯の表面に傷を付けずステインを落とすエアフローを用い ています。
微粒子のパウダーと水を一緒に吹きかけ、歯に傷を付けず約30〜 45分で綺麗になります。
微粒子のパウダーと水を一緒に吹きかけ、歯に傷を付けず約30〜
歯のステインが気になる方は一度ご相談ください(╹◡╹)
